Turun yliopiston tiedotteessa kerrotaan, että syöpäkasvaimen ja sitä ympäröivän kudoksen kovuus säätelee syövän kehittymistä pahanlaatuiseksi.
Aihetta käsittelevä tutkimus julkaistiin elokuun alussa solubiologian alan arvostetussa Nature Communications -lehdessä julkaistussa artikkelissa.
"Monen syöpäpotilaan tarina alkaa siitä, että havaitsee itsessään 'kyhmyn'", akatemiaprofessori Johanna Ivaska kuvaa.
"Uudet tutkimustulokset paljastavat, että ”kyhmyllä” on merkittävä rooli syövän pahanlaatuisuudessa. Kudoksen tiheyden kasvu käynnistää syöpäsoluissa kokonaisvaltaisen muutoksen, joka johtaa lukuisien solujen kasvua lisäävien geenien ilmentymiseen."
Ivaskan tutkimusryhmä on tutkinut normaalisolujen ja syöpäsolujen mekanosensitiivisyyttä eli kykyä tunnistaa ympäröivän kudoksen jäykkyys. Monet ihmisen kudokset, kuten rintakudos, ovat hyvin pehmeitä ja kudoksen solut ovat optimoitu kasvamaan normaalisti tässä ympäristössä. Solun pinnan tarttumisreseptorit, integriinit, toimivat jousien tavoin ja välittävät solun tumaan viestejä kudoksen pehmeydestä ja säätelevät geenien ilmentymistä tämän viestin perusteella.
"Uudet tutkimustulokset osoittavat ensimmäistä kertaa, että syöpäkasvaimen kovuus vaikuttaa niin kutsutun epigeneettisen säätelyn kautta hyvin laajasti syöpäsolujen ilmentämiin geeneihin lisäten syövän pahanlaatuisuutta. Laboratorio-olosuhteissa pystyimme estämään syövän kasvun yksinkertaisesti palauttamalla syöpää ympäröivän kudoksen jäykkyyden vastaamaan normaalia pehmeää rintakudosta."
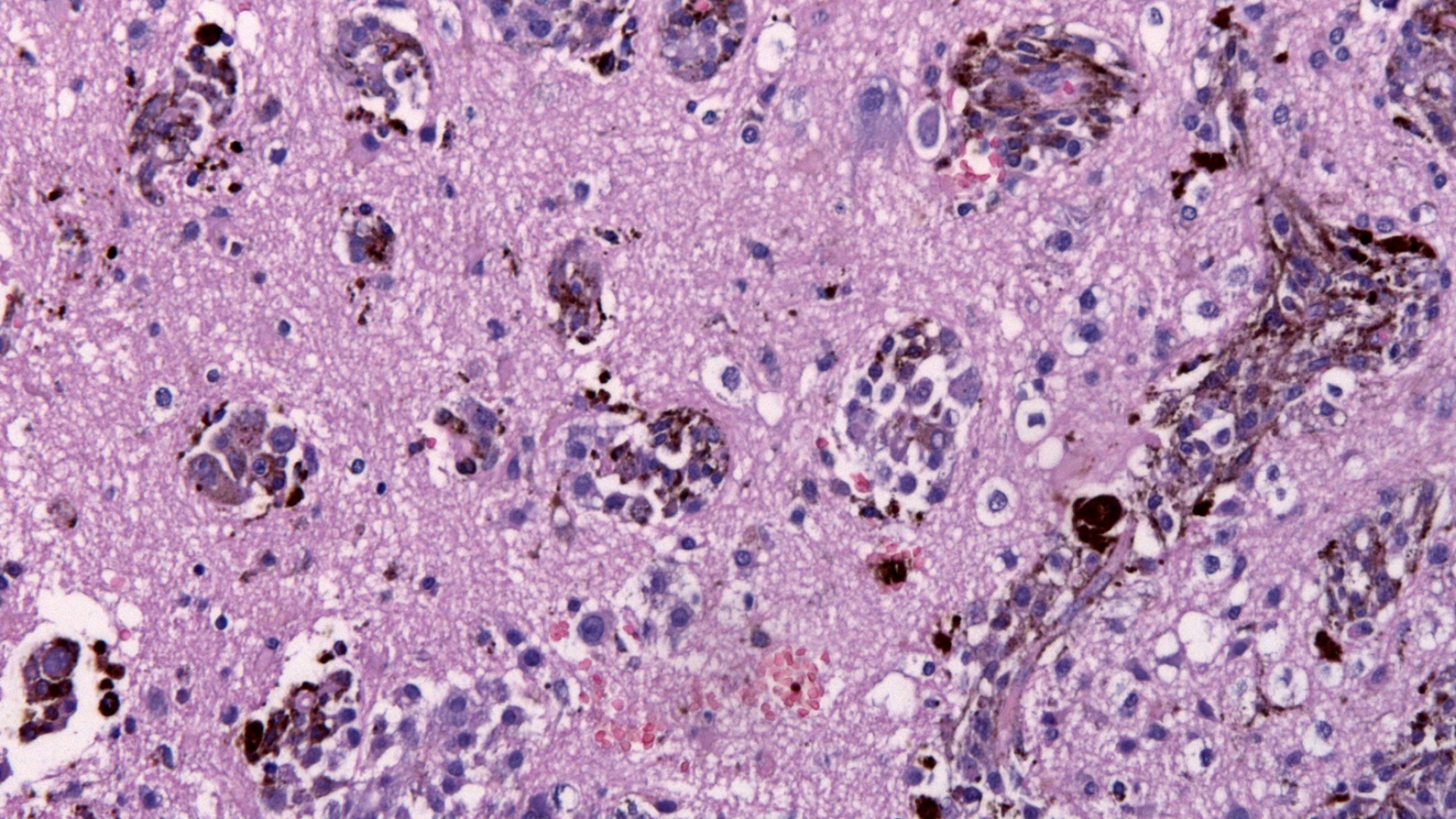
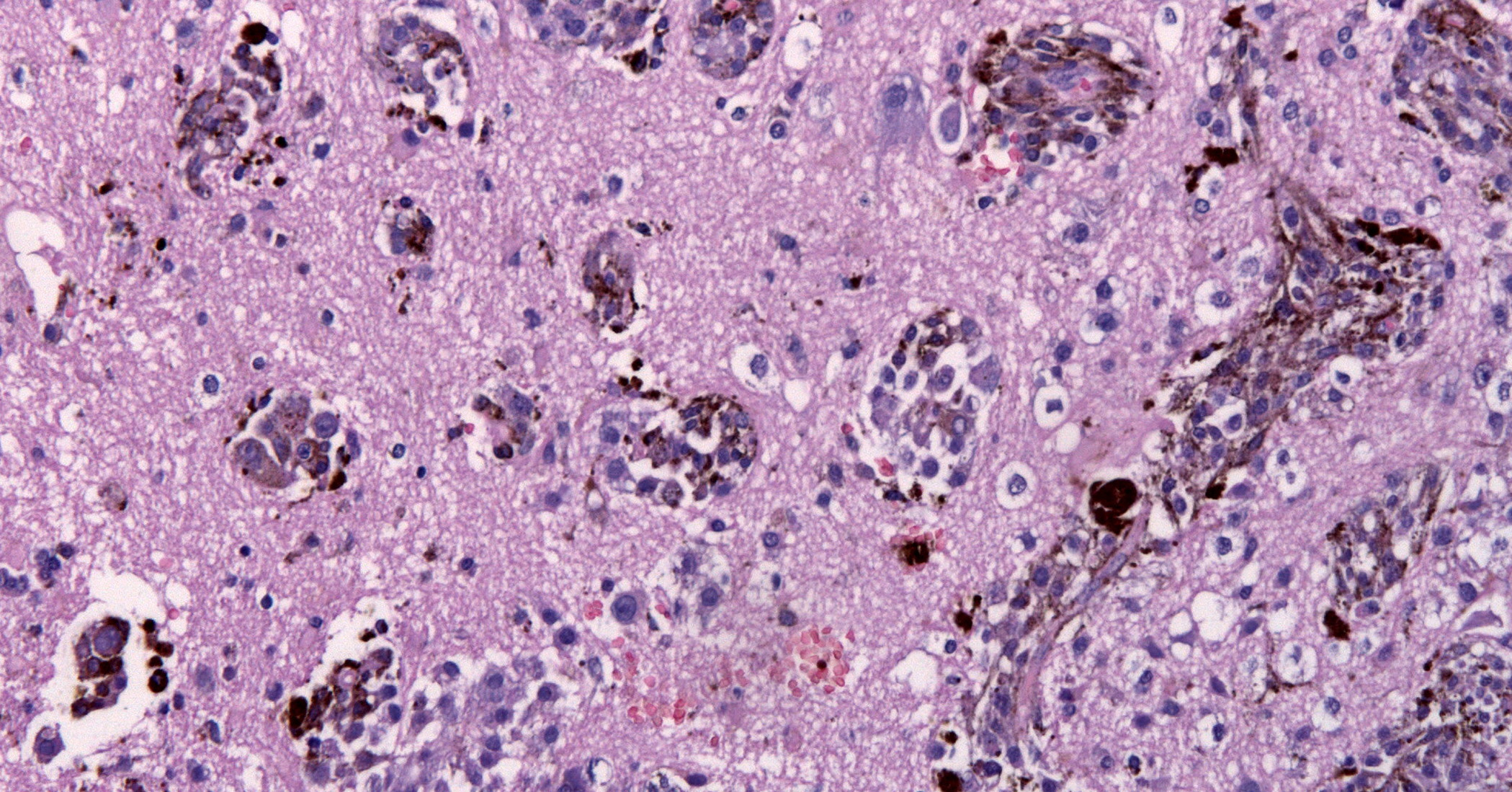
Tutkija Riina Kaukosen tutkimustulokset paljastivat tutkimusryhmälle, että kudoksen jäykkyyden lisääntyessä geenien ilmentymistä säätelevä epigeneettinen entsyymi (JMJD1A) siirtyi solulimasta tumaan ja muutti kokonaisvaltaisesti syövän geenien ilmentymistä ja lisäsi solujen kasvua.
Poistamalla soluista JMJD1A-entsyymin, Kaukonen pystyi estämään useiden syöpätyyppien kasvua ja kykyä muodostaa syöpäkasvaimia. Yhteistyössä Turun ja Helsingin yliopistollisten keskussairaaloiden lääkäreiden kanssa tutkijat myös havaitsisivat, että JMJD1A:n määrä oli korkeampi niiden potilaiden syövissä, jossa ympäröivässä kudoksessa oli merkkejä korkeammasta tiheydestä.
"Tutkimustulokset avaavat täysin uuden näkökulman syöpää ympäröivän kudoksen osuuteen syövän kehityksessä. Kohdentamalla lääkehoitoja syöpäsolujen lisäksi niiden vuorovaikutukseen ympäröivän kudoksen kanssa voimme ehkä tulevaisuudessa kohentaa nykyisten lääkehoitojen tehoja."
*
Teksti on lähes suoraan kopioitu Turun yliopiston tiedote, jonka ovat kirjoittaneet Johanna Ivaska ja Erja Hyytiäinen.
